Trang H.
Invisalign Case
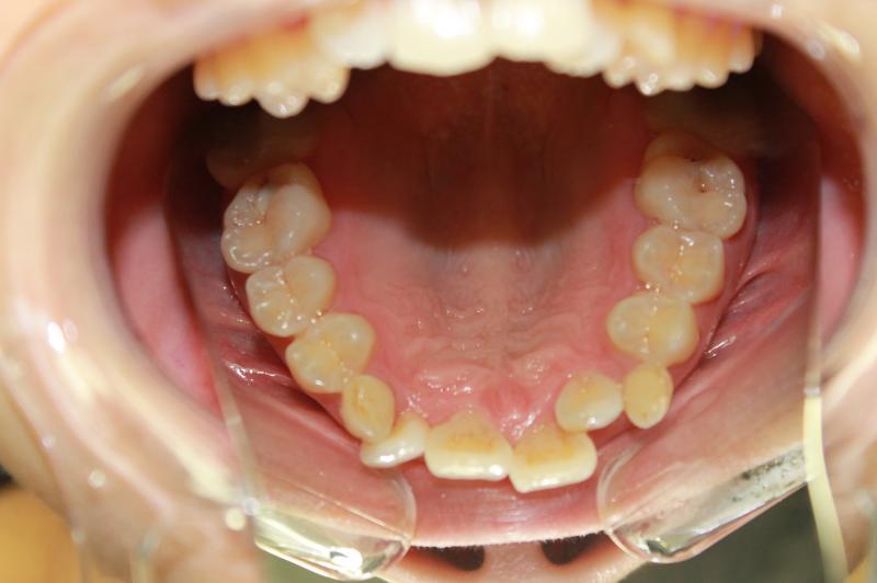
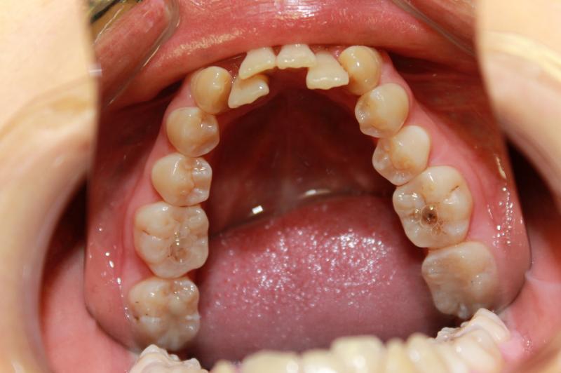
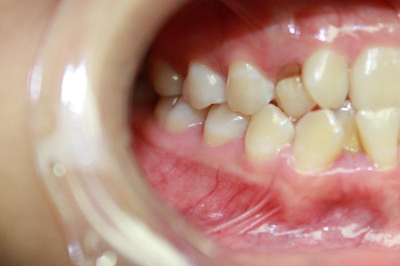
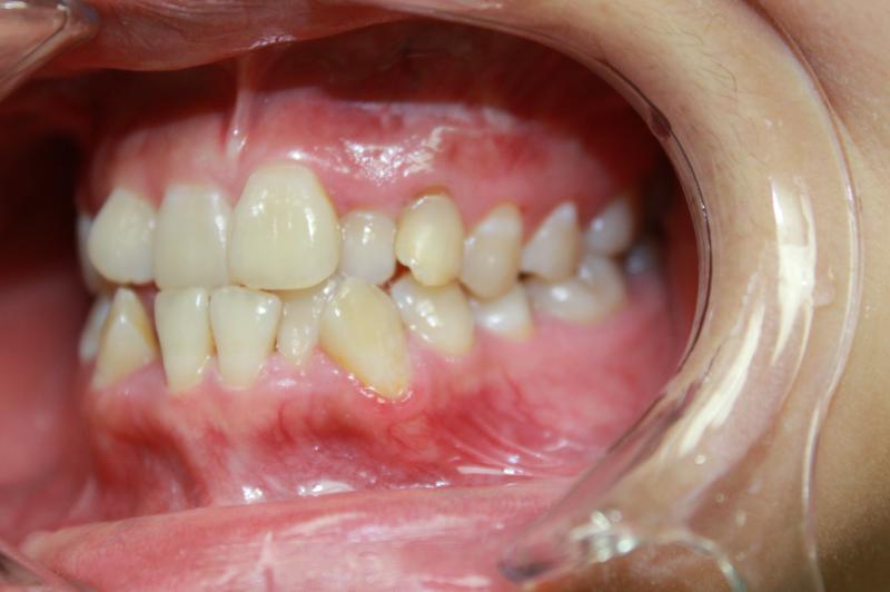
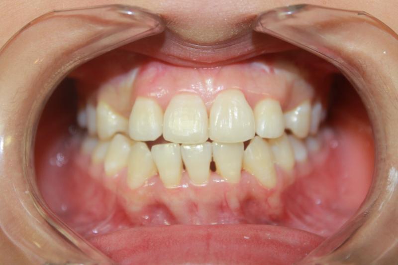
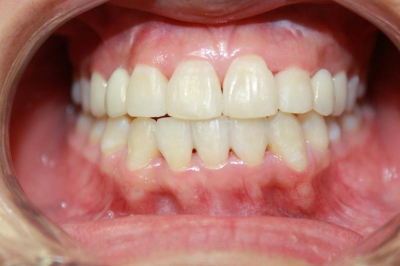
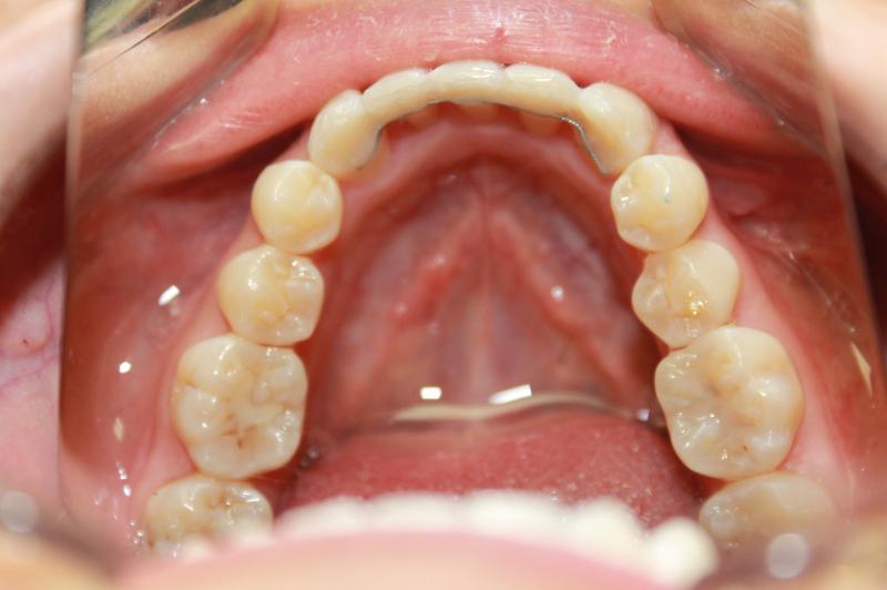
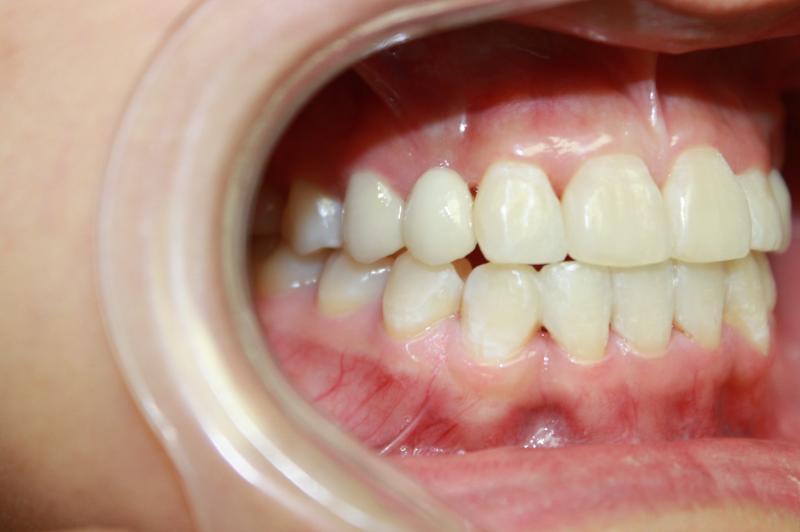
INVISALIGN - 13 months, 1 lower tooth removal, 1 series of aligners to align teeth and create the proper amount of space for 2 cantilever bridge to replace congenitally missing cuspids. COSMETIC DENTISTRY - 2 porcelain cantilever bridges and cosmetic bonding to reshape incisors and close gingival spaces. TOTAL TREATMENT TIME, 15 months
Cosmetic Dentistry, Mid-line Asymetry, Missing Teeth, Severe Crowding






















