Steve N.
Invisalign Case
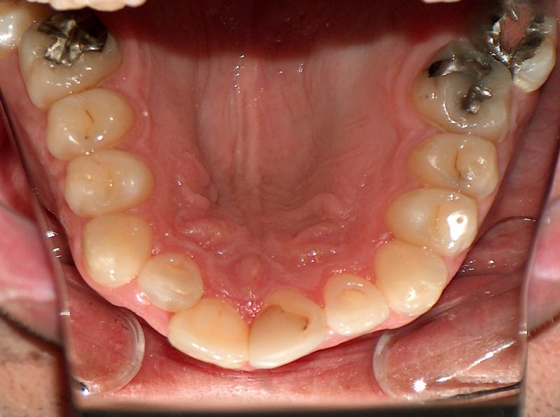
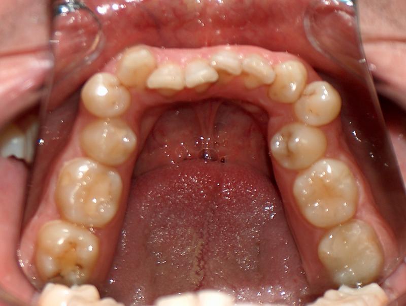
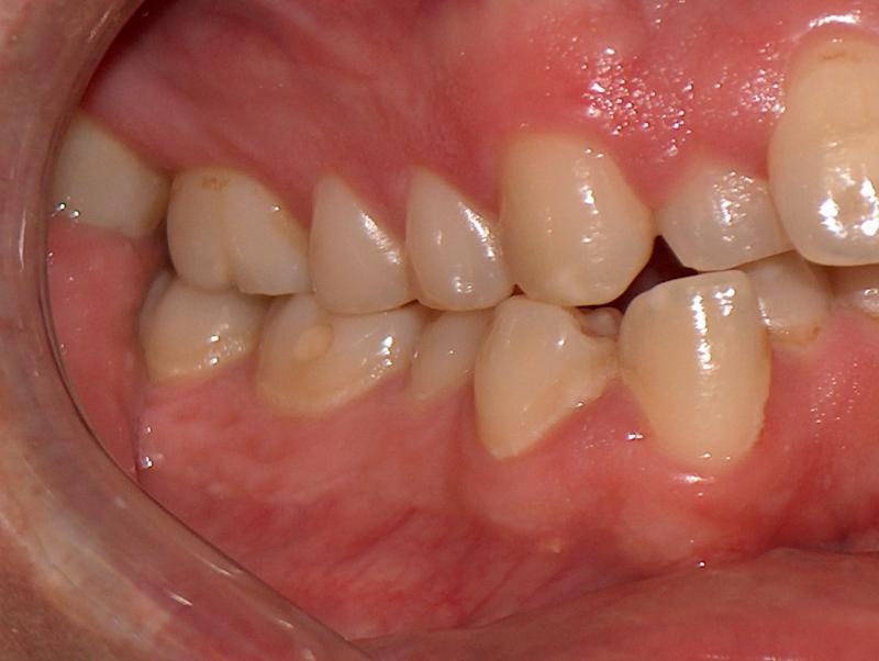
INVISALIGN, 16 months, 2 series of aligner to correct the anterior cross bite, to intrude the over erupted and extremely crowded lower incisors. COSMETIC DENTISTRY, leveling of incisal edges, gingival tissue contouring, and cosmetic bonding.
Cosmetic Dentistry, Mid-line Asymetry, Severe Crowding











