Isabelle G.
Invisalign Case
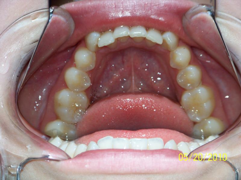
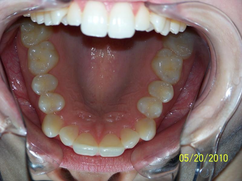
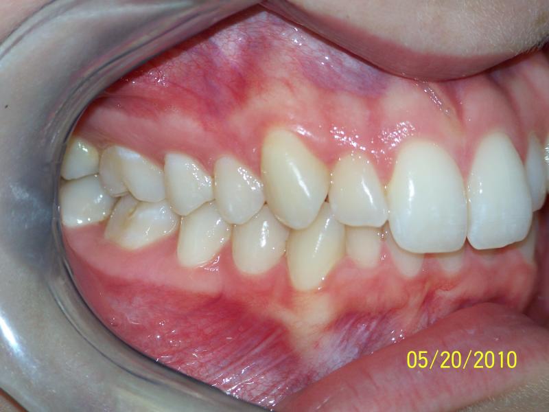
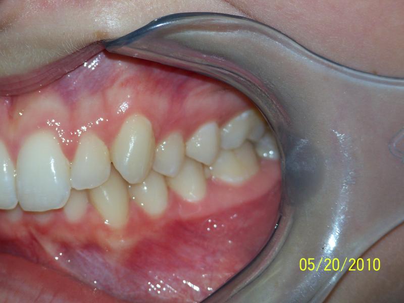
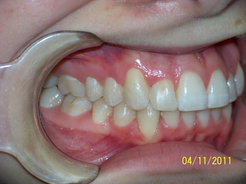
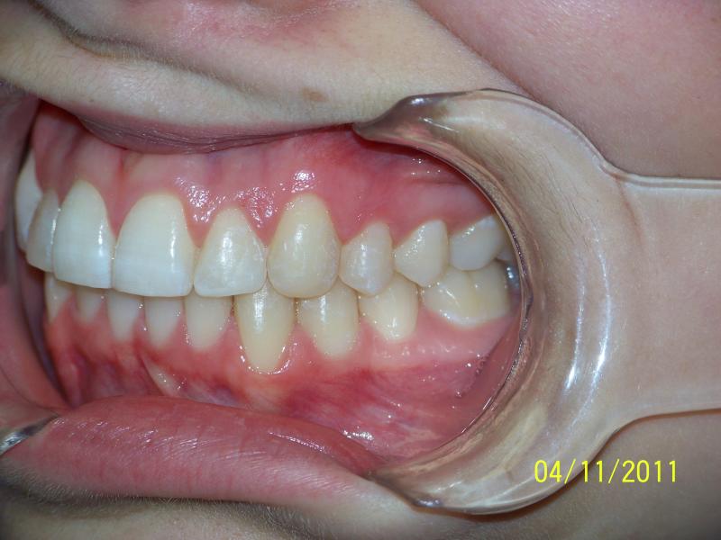
INVISALIGN, 10 months, 1 series of aligners to correct alignment, deep overbite and shift teeth to the right to match upper and lower mid line, TOTAL TREATMENT TIME: 10 months COSMETIC DENTISTRY: incisal reduction of anterior teeth before and after Invisalign.
Deep Overbite, Teeth Reshaping, Testimonial















