Asma M.
Invisalign Case
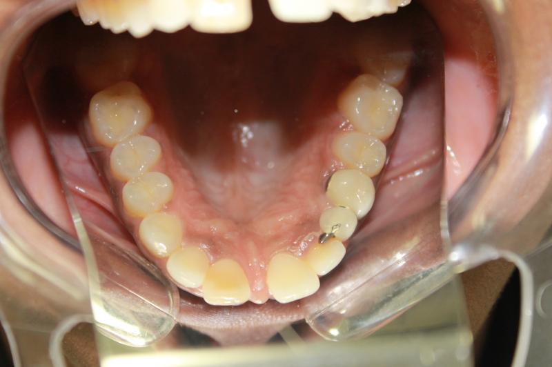
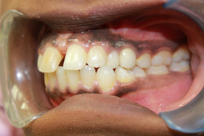
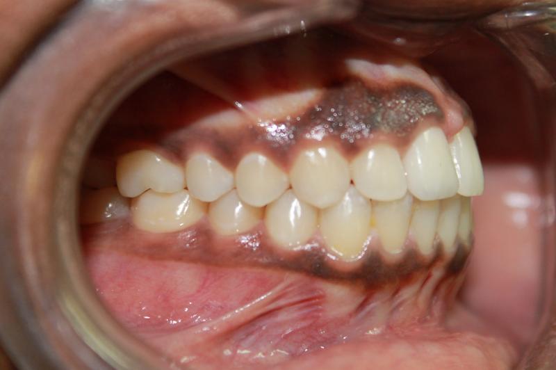
INVISALIGN, 7 months, 1 series of aligner to close anterior space, correct mid line asymmetry, and increase space for congenitally missing cuspid. COSMETIC DENTISTRY, replacing old cantilever bridge and new porcelain crown on right central incisor. All laboratory crowns done by Dental Technology Group. TOTAL TREATMENT TIME, 9 months
Cosmetic Dentistry, Diastima, Mid-line Asymetry, Missing Teeth















